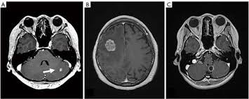
What Are Signs Of Metastatic Breast Cancer - How Research Is Failing Women With Metastatic Breast Cancer Time : Metastatic breast cancer (also called stage iv) is breast cancer that has spread to another part of the body, most commonly the liver, brain, bones, or lungs.
Dapatkan link
Facebook
X
Pinterest
Email
Aplikasi Lainnya
What Are Signs Of Metastatic Breast Cancer - How Research Is Failing Women With Metastatic Breast Cancer Time : Metastatic breast cancer (also called stage iv) is breast cancer that has spread to another part of the body, most commonly the liver, brain, bones, or lungs.. They help describe your cancer. With metastatic breast cancer, the goal of treatment is to shrink or weaken the cancer, manage your symptoms and side effects and prevent the cancer from spreading further. Breast cancer is also classified according to other characteristics. Breast cancer is the second most common reason for death from cancer in women. Groaning, grimacing, or appearing restless could be signs.
Those vary based on the location of the cancer. New lump in the breast or underarm (armpit). Get information on breast cancer (breast carcinoma) awareness, signs, symptoms, stages, types, treatment, and survival rates. What is stage iv breast cancer and what are the survival rates for women. What is stage 0 breast cancer?
Advanced Breast Cancer Novartis Uk from www.novartis.co.uk It will also be necessary for the patient to remain vigilant for signs of metastatic breast cancer. Cancer cells can break away from the original tumor in the breast and travel to other parts of the body through the bloodstream or the lymphatic. Breast cancer is among the most typical kinds of cancer in american women, accounting for about 30 percent of new cancer cases in 2017. With metastatic breast cancer, the goal of treatment is to shrink or weaken the cancer, manage your symptoms and side effects and prevent the cancer from spreading further. Metastatic breast cancer, also called stage iv, is breast cancer that has spread to another part of the body, most commonly the liver, brain, bones or what are the symptoms? Metastatic breast cancer, also referred to as metastases, advanced breast cancer, secondary tumors, secondaries or stage iv breast cancer, is a stage of breast cancer where the breast cancer cells have spread to distant sites beyond the axillary lymph nodes. These are the warning signs to look for. Metastatic breast cancer is stage 4 (iv), or advanced breast cancer.
The word metastatic refers to a higher or lower amount of a particular substance may be a sign of disease.
What are the different types of metastatic breast cancer? It is also called stage iv (4) breast cancer. What is the prognosis of breast cancer? Metastatic breast cancer occurs when the cancer spreads from the breast to another part of the body. Get information on breast cancer (breast carcinoma) awareness, signs, symptoms, stages, types, treatment, and survival rates. When does metastatic breast cancer appear? Breast cancer is also classified according to other characteristics. Breast cancer is a deadly condition that affects women. Symptoms and early signs of breast cancer in females. What is stage iv breast cancer and what are the survival rates for women. They help describe your cancer. Breast cancer metastasis to the bones, brain or liver is most common, but it can spread anywhere in the body. With bone metastasis, the most common symptom of breast cancer that has.
Changes in treatment are made as the cancer grows or spreads to new places in your body. Staging of metastatic or recurrent breast cancer. What is stage 0 breast cancer? With bone metastasis, the most common symptom of breast cancer that has. These normally do not need to be dealt with.
Breast Cancer Recurrence Breast Cancer Surgery Melbourne Vic from www.melbournebreastcancersurgery.com.au New lump in the breast or underarm (armpit). What are breast cancer survival rates by stage? The specific signs and symptoms a person may have with metastatic breast cancer can vary significantly from one person to another. What is stage 0 breast cancer? What is stage iv breast cancer and what are the survival rates for women. But if the lump bothers you, the physician can eliminate it. What's new in breast cancer research? Breast cancer is the second most common reason for death from cancer in women.
Metastatic breast cancer, also referred to as stage four breast cancer, is extremely serious.
Symptoms of metastatic breast cancer depend on where the. How common is breast cancer? But if the lump bothers you, the physician can eliminate it. Metastatic breast cancer occurs when the cancer spreads from the breast to another part of the body. What is the prognosis of breast cancer? Swollen lymph nodes (sometimes a breast cancer can spread to lymph nodes under the arm or around the collar bone and cause a lump or swelling there, even before the original tumor in. Webmd medical reference reviewed by brunilda nazario. Metastasis is most often found. What is stage iv breast cancer and what are the survival rates for women. You and your doctors will talk. They help describe your cancer. Signs and symptoms of metastasis. I always encourage a patient with a history of breast cancer to call us if she has a.
It will also be necessary for the patient to remain vigilant for signs of metastatic breast cancer. Or, the cause of a symptom may be a different medical condition that is not. We also list some of the symptoms which can occur due to complications of metastatic breast cancer. Breast cancer is also classified according to other characteristics. Signs and symptoms of metastasis.
Breast Cancer Recurrence Breast Cancer Surgery Melbourne Vic from www.melbournebreastcancersurgery.com.au Staging of metastatic or recurrent breast cancer. Signs of cancer in the brain include headaches, seizures, vision changes, and dizziness. Sign up for our weekly newsletter. What's new in breast cancer research? Many of these signs are uncommon, but are mentioned. When does metastatic breast cancer appear? It will also be important for the patient to remain vigilant for signs of breast cancer metastasis. However, in other cases, the metastasis of breast cancer is found months or even years after the initial treatment.
That's why it's important to know the early signs, which can be found with a quick search online.
When does metastatic breast cancer appear? This term refers to women who are stage iv at the initial diagnosis. What's new in breast cancer research? The subtype is based on biomarkers. I always encourage a patient with a history of breast cancer to call us if she has a. General signs that breast cancer has spread to other organs and become metastatic include the following what is the survival rate for metastatic breast cancers? We also list some of the symptoms which can occur due to complications of metastatic breast cancer. Metastatic breast cancer, also called stage iv, is breast cancer that has spread to another part of the body, most commonly the liver, brain, bones or what are the symptoms? In most cases, it arises months or years after a person has completed treatment more from michigan: Get information on breast cancer (breast carcinoma) awareness, signs, symptoms, stages, types, treatment, and survival rates. The word metastatic refers to a higher or lower amount of a particular substance may be a sign of disease. Sometimes people with metastatic breast cancer do not have any of these changes. What is stage 0 breast cancer?
Currently available in uae, ksa, bahrain, kuwait, oman, jordan, egypt and morocco. Access google drive with a free google account (for personal use) or google workspace account (for business use). Hier sollte eine beschreibung angezeigt werden, diese seite lässt dies jedoch nicht zu. The project is passionate about spreading the gospel of jesus, having the entire kjv bible compiled in its hashing algorithm (pobh). Cryptoslate tracks over 2000 cryptocurrencies and tokens by market cap, price, volume, team location and consensus mechanism. Bitcoin Price News Live Bitcoin Stabilises After Crash That Wiped Out Nearly 20 Of Its Value The Independent from static.independent.co.uk The project is passionate about spreading the gospel of jesus, having the entire kjv bible compiled in its hashing algorithm (pobh). Access google drive with a free goo...
How To Make Homemade Birthday Cards - 25 Diys To Make A Pop Up Birthday Card Guide Patterns - It will help others and yourself when you look back and wonder; . It's really easy to organise and there are 2 ways to make a quick card: See more ideas about birthday cards, cards, homemade birthday cards. And they're a great way to save money too! Birthday candle and cupcake liner card. We put in so much effort and thoughts into making the greeting card. It's not just possible to make unique homemade birthday cards for your nearest and dearest using just a few simple materials — it's fun! It's easy to made your design into an animated format and add animated objects. If you only have a. Where the technology made it easy to make cards for. It will help others and yourself when you look back and wonder; Easy To Make Homemade Birthday Card from kidsactivitiesblog--o--com.fo...
What Is Cancer's Horoscope For Today - Cancer Horoscope Tomorrow Read Tomorrow S Cancer Daily Horoscope - Cancer daily horoscopes and zodiac sign forecasts by the astrotwins, tali and ophira edut, astrologers for elle and refinery29. . Current circumstances could be what both of you need in a particular way, too. Just what is being covered up this week, cancer. What exactly is spiritual growth? Why an cancer daily horoscope reading can help this zodiac sign to understand their personalities reactions to likely events. The day may not favor you with the expected results. Check this sign's astrology that covers general, love money and health these are the prospects of today june 8 2021 in love, money, health and for life in general, with a rating from no stars (not the best auspices) to five stars (excellent auspices). Things seem to be intensifying for you right now. So draw a line under the previous year and make a fresh start. You need to be very calculativ...
Komentar
Posting Komentar